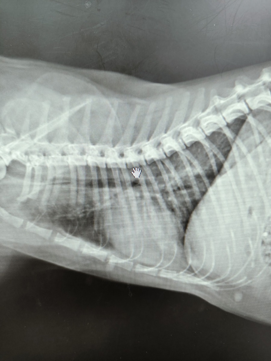
Ветеринарный врач Виктория Талалаева извлекла из тела очередного пушистого пациента пулю для пневматического оружия. От рук неизвестного стрелка пострадал некогда бездомный кот. В настоящее время с животным все в порядке, однако повод для беспокойства остается, так как случившееся — далеко не первый подобный инцидент на территории Смоленска.
Как рассказала редакции SmolNarod Виктория, пуля была обнаружена в теле животного случайно, в ходе планового осмотра перед кастрацией. Прежде чем попасть к нынешней хозяйке, кот жил на улице, поэтому определить, когда и тем более кто совершил выстрел, не представляется возможным. Благо, снаряд застрял под кожей хвостатой жертвы, не причинив значительных повреждений.
«Спасать его не пришлось, пуля просто находилась под кожей и не причиняла коту дискомфорта на момент приема. Рана после выстрела зажила самостоятельно и наружных травм обнаружено не было. Мы извлекли пулю планово одновременно с проведением кастрации», — поделилась ветеринарный врач.
Хозяйка кота с шальной пулей обращаться в полицию не стала, так как с учетом обстоятельств установить личность живодера невозможно. Однако, отметила Виктория, владельцы других подстреленных животных заявления писали. Так, например, поступила жительница областного центра, которая обнаружила характерную рану на теле своей собаки.
Ветеринарный врач подчеркнула, что подобные инциденты происходят с незавидной регулярностью. Чаще всего случайные находки в виде пуль специалисты делают у животных, которые имеют свободный доступ на улицу или вовсе живут там. Один из самых запомнившихся Виктории случаев произошел с кошкой, которой посчастливилось обрести хозяина после длительного бродяжничества.
«Несколько лет назад мы оперировали кошку, которую забрали с улицы. Извлекли из нее восемь (!) пуль, одну из которых доставали из глаза. Спасти глаз не удалось, но в остальном с кошкой по сей день все хорошо, она осталась на постоянном содержании у волонтера. На моей практике это удручающе рекордное количество пуль в одном животном», — рассказала собеседница издания.
Добавим, что Уголовным кодексом РФ предусмотрено наказание за жестокое обращение с животными — статья 245 УК РФ. Однако в той же статье в качестве условия для привлечения к ответственности прописаны цели такого деяния (причинение жертве боли или страданий, хулиганские или корыстные побуждения), а также последствия для пострадавшего животного (наличие увечий или наступление смерти). Кроме того, доказать факт совершения подобного преступления очень сложно.
SmolNarod обратился в пресс-службу УМВД России по Смоленской области с вопросом о том, как много подобных заявлений рассматривается на территории столицы региона в настоящее время. С ответом ведомства обязательно ознакомим наших читателей.
Ранее сообщалось об убийстве собаки в Вязьме. Бультерьер получил несовместимые с жизнью травмы при падении с большой высоты — питомца фактически выбросили из окна многоквартирного дома. Как оказалось, пес находился на передержке у родственников его владелицы, пока та была на заработках в Москве. В настоящее время по факту случившегося полиция проводит проверку.







